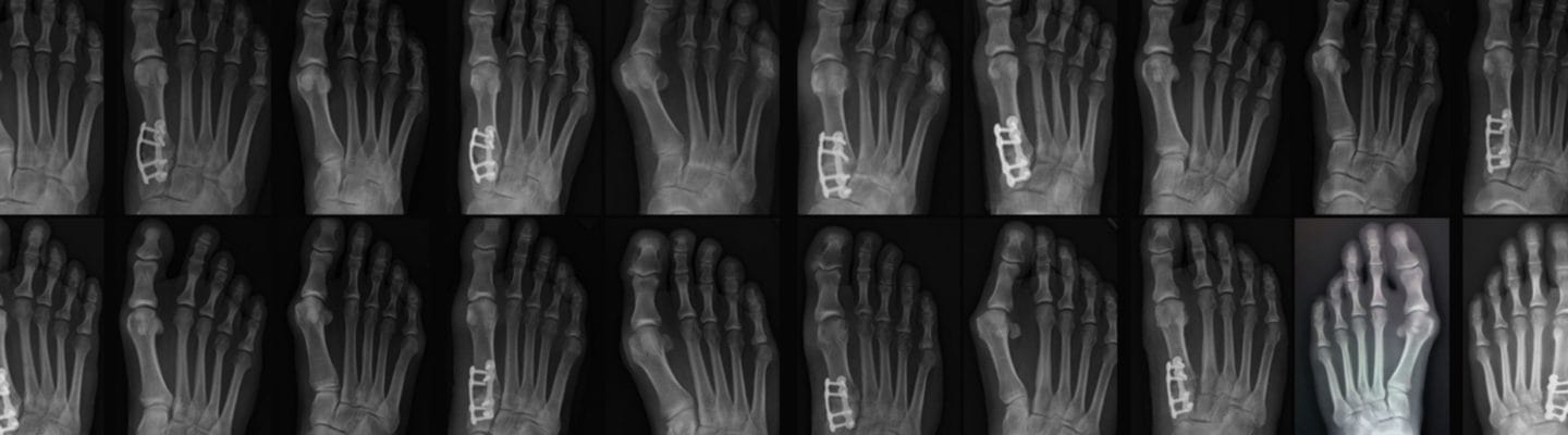
Clinical Case Examples
Before and Afters
Individual results may vary. These results are specific to these patients only. All constructs shown are at the surgeons’ discretion.
M3948A
Individual results may vary. These results are specific to these patients only. All constructs shown are at the surgeons’ discretion.
M3948A